Stained or discoloured teeth can dull your smile and affect how you feel about yourself. At Southern Highlands Dental Implants and Cosmetic Centre, we offer professional teeth whitening treatments designed to lift stains, enhance brightness, and restore the natural radiance of your smile.
>Using advanced whitening systems and safe, clinically proven techniques, Dr Ahmed Elkhatib and our experienced team deliver results that are both effective and tailored to your goals. Whether you're preparing for a special occasion or simply want to refresh your look, we’ll help you achieve a noticeably whiter smile in a comfortable and controlled setting.
>Ready to brighten your smile with confidence? We’re here to support you every step of the way - from consultation to your stunning final result.
                                                                     
                                                                
If your smile has lost its sparkle due to staining, ageing, or lifestyle habits, professional tooth whitening offers a safe and effective way to brighten your teeth and boost your confidence. At Southern Highlands Dental, we deliver high-quality whitening treatments designed to noticeably enhance your smile - giving you a fresher, more radiant look you’ll love.
Thinking about brightening your smile? Our experienced team will walk you through every step, from initial consultation to post-treatment care, ensuring your whitening experience is comfortable, customised, and delivers the results you're after.
                                                                     
                                                                
                                                                     
                                                                
                                                                     
                                                                
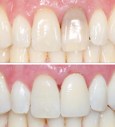
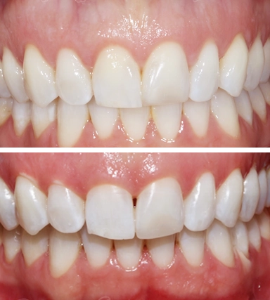
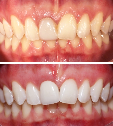
At Southern Highlands Dental Implants and Cosmetic Centre, we offer effective, fast-acting, and safe whitening solutions using the SDI Pola Office system—helping you achieve a brighter, more confident smile in just one appointment.
A bright, white smile enhances more than just appearance—it boosts confidence, improves first impressions, and even influences professional and social outcomes. According to the American Academy of Cosmetic Dentistry:
Teeth whitening is a simple, non-invasive way to refresh your look and leave a lasting impression.
At our clinic, we use the SDI Pola Office whitening system—one of the safest and most effective in-clinic teeth whitening treatments available in Australia.
Key Benefits:
Pola Office offers a hassle-free experience: no lasers, no complicated equipment—just a clinically proven solution for removing stains and discolouration.
Your whitening treatment at Southern Highlands Dental Implants and Cosmetic Centre includes:
Your new smile begins with a simple step. Book your appointment online or give us a call. We're here to make it easy, comfortable, and tailored just for you.