Receding or uneven gums can affect both your oral health and the appearance of your smile. At Southern Highlands Dental Implants and Cosmetic Centre, we offer advanced gum grafting and gum lift procedures to restore gum tissue, protect tooth roots, and enhance your smile’s symmetry and health.
Led by Dr Ahmed Elkhatib, our experienced team uses precise, evidence-based techniques to rebuild lost gum tissue with grafts or gently reshape the gum line through lifts. Whether you’re addressing the effects of gum disease or seeking aesthetic improvement, we tailor every treatment to your unique needs and goals.
With a focus on comfort, healing, and long-term results, we’re here to help you regain confidence in your smile - and protect your teeth for years to come.
                                                                     
                                                                
At Southern Highlands Dental Implants and Cosmetic Centre, we offer expert solutions for gum recession and uneven gum lines through advanced gum grafting and gum lift procedures. Whether your concern is health-related or cosmetic, these treatments can restore balance, protect exposed roots, and improve the overall appearance of your smile.
Led by Dr Ahmed Elkhatib, our skilled team performs precise, minimally invasive procedures to rebuild lost gum tissue or reshape the gum line for a more symmetrical, natural look. Each treatment is tailored to your unique needs, with a strong focus on comfort, healing, and long-lasting results.
Whether you’re recovering from gum disease or looking to improve the aesthetics of your smile, we’re here to guide you through every step with expert care and support.
Reclaim your gum health and smile confidence - book your gum graft or lift consultation today!
                                                                     
                                                                
                                                                     
                                                                
                                                                     
                                                                
Enhance Your Gum Health and Aesthetics for Successful Dental Implant Placement. At Southern Highlands Dental Implants and Cosmetic Centre, we focus on ensuring your gums are healthy, firm, and aesthetically shaped before proceeding with any dental implant treatment. Healthy gum tissue provides essential support for implants and plays a vital role in their long-term success.
Dental implants require a stable and healthy soft tissue environment to ensure they function correctly and look natural. If there is gum recession, uneven contours, or insufficient gum volume, the implant may be compromised - both in function and appearance.
Thanks to modern dental techniques, patients who may have previously been unsuitable for implants due to gum concerns can now benefit from treatment through advanced gum grafting and gum lifting procedures.
Dr Elkhatib has extensive training in soft tissue management and uses the latest techniques to deliver outstanding aesthetic and functional results, even in complex cases.
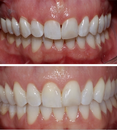
This procedure involves transplanting healthy tissue—often from the roof of the mouth (palate)—to areas where gum recession has occurred. Gum grafting restores lost tissue around teeth or implants, enhances gum volume, and protects exposed roots, contributing to improved oral health and implant success.
Gum lifting reshapes the gum line to create a more balanced and symmetrical appearance. It is commonly used to correct a “gummy” smile or uneven gum levels. Gum lifting can be performed before or during implant placement to optimise aesthetics and frame the final restoration beautifully.
Gum grafting or lifting may be recommended in cases such as:
Not all patients require gum-related procedures before implant placement. If your gums are healthy and structurally sound, implant treatment may proceed without additional soft tissue work. Dr Elkhatib will carry out a thorough assessment, including advanced imaging, to determine whether gum grafting or lifting is necessary for your specific case.
Your new smile begins with a simple step. Book your appointment online or give us a call. We're here to make it easy, comfortable, and tailored just for you.