Damaged or missing teeth can make everyday tasks like chewing and speaking more difficult - and may even affect your confidence. At Southern Highlands Dental Implants and Cosmetic Centre, we offer custom-made crowns and bridges to restore the strength, function, and natural appearance of your smile.
Led by Dr Ahmed Elkhatib, our experienced team uses the latest materials and techniques to craft restorations that blend seamlessly with your existing teeth. Whether you need to repair a weakened tooth with a crown or replace one or more missing teeth with a bridge, we tailor every treatment to your unique needs for durable, lifelike results.
Let us help you restore your smile’s full potential - with care that’s as comfortable as it is precise.
                                                                     
                                                                
If you’ve lost a tooth or have one that’s severely damaged due to decay, injury, or wear, crowns and bridges offer a reliable, long-lasting way to restore both function and appearance. At Southern Highlands Dental Implants and Cosmetic Centre, we create custom restorations that blend naturally with your existing teeth - so you can eat, speak, and smile with confidence.
Our experienced team, led by Dr Ahmed Elkhatib, will walk you through every step of the process, from your initial consultation to the final fitting. Whether you need to strengthen a single tooth with a crown or replace several teeth with a bridge, your treatment will be tailored to suit your individual needs and goals.
                                                                     
                                                                
                                                                     
                                                                
                                                                     
                                                                
At Southern Highlands Dental Implants and Cosmetic Centre, Dr Elkhatib offers advanced restorative dentistry solutions to help protect and restore your natural teeth.
While preventative dentistry remains the best approach for long-term oral health, tooth decay, injury, and structural damage still occur. In such cases, dental crowns and bridges offer reliable, long-lasting solutions.
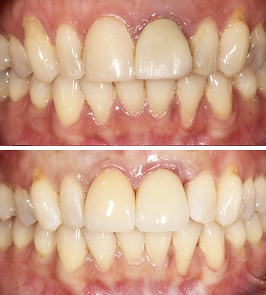
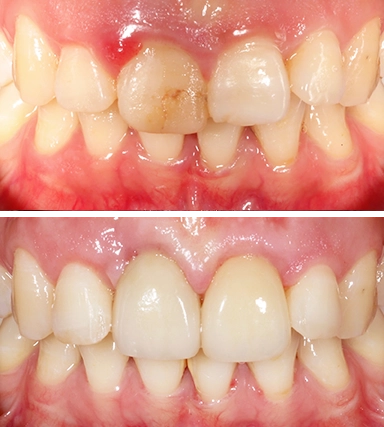
A dental crown is a custom-made porcelain cap that covers a damaged or decayed tooth to restore its strength, shape, and appearance. It is ideal for teeth that are cracked, chipped, severely worn down, or weakened by large fillings. Crowns provide both protection and aesthetics, allowing patients to preserve their natural tooth structure.
A dental bridge replaces one or more missing teeth by anchoring a false tooth between two crowns fitted over adjacent teeth. Made from the same durable materials as crowns, bridges restore chewing function and maintain proper bite alignment.
When a tooth is too damaged for a standard filling, a crown offers superior protection and longevity. Fillings are suitable only for minor cavities, while crowns are recommended when there is insufficient structure remaining to support a filling.
Our clinic uses CEREC CAD-CAM technology to create precise 3D digital models of your tooth. This advanced imaging system enables same-day crown fabrication, eliminating the need for multiple visits. Dr Elkhatib tailors each restoration to your specific dental needs for optimal function and aesthetics.
Your new smile begins with a simple step. Book your appointment online or give us a call. We're here to make it easy, comfortable, and tailored just for you.