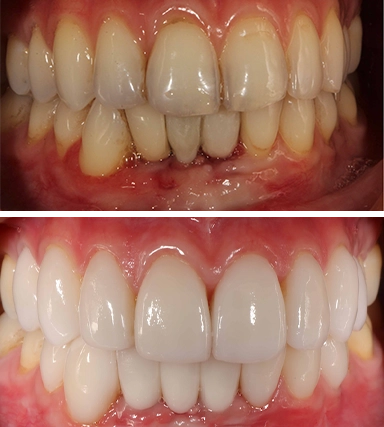
If you’re living with extensive dental damage, pain, or loss of function, full mouth rehabilitation offers a comprehensive, personalised approach to restore your smile and improve your quality of life. At Southern Highlands Dental Implants and Cosmetic Centre, we specialise in complex restorative care tailored to your unique needs and goals.
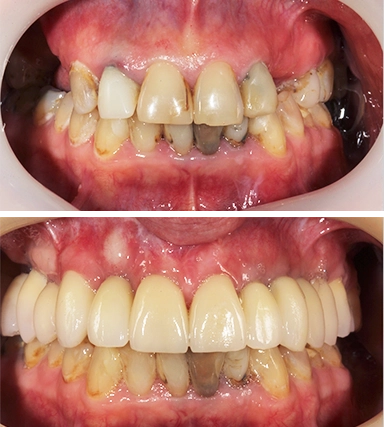
Under the expert guidance of Dr Ahmed Elkhatib, our skilled team uses the latest technology and high-quality materials to rebuild every aspect of your smile - from worn or damaged teeth to missing or misaligned ones. Your rehabilitation plan may include a combination of treatments such as crowns, bridges, dental implants, veneers, or periodontal therapy, all coordinated for optimal function and aesthetics.
Our goal is to help you eat comfortably, speak clearly, and smile confidently once again - with care that’s precise, supportive, and results-driven.
                                                                     
                                                                
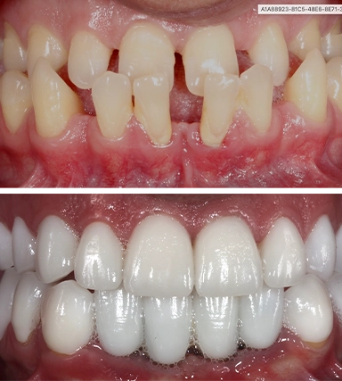
At Southern Highlands Dental Implants and Cosmetic Centre, we recognise that complex dental issues - such as multiple missing, worn, or damaged teeth - require a comprehensive and personalised approach. Full mouth rehabilitation offers a complete solution to rebuild your smile and restore optimal oral function, health, and appearance.
Led by Dr Ahmed Elkhatib, our expert team develops tailored treatment plans using advanced diagnostics, modern techniques, and high-quality materials. From crowns and bridges to implants, veneers, and gum treatments, we coordinate every stage of your rehabilitation with precision and care.
Whether your concerns stem from injury, decay, bite problems, or long-term wear, we’re here to support your transformation with compassion, expertise, and a clear focus on long-term results.
Rediscover the comfort and confidence of a fully functional smile - book your full mouth rehabilitation consultation today.
                                                                     
                                                                
                                                                     
                                                                
                                                                     
                                                                
                                                                     
                                                                
                                                                     
                                                                
                                                                     
                                                                
Living with multiple dental concerns can impact your comfort, confidence, and quality of life. At Southern Highlands Dental Implants and Cosmetic Centre, Dr Ahmed provides expert full-mouth rehabilitation to help restore your smile, oral function, and overall wellbeing. Whether you’re facing extensive tooth damage, missing teeth, or bite issues, Dr Ahmed’s personalised approach can transform not only your smile, but your life.
Full-mouth rehabilitation is a comprehensive treatment plan that addresses complex dental problems across the entire mouth. It combines restorative, cosmetic, and functional dental care to rebuild the structure and health of your teeth and gums, giving you a smile that looks and feels natural.
Dr Ahmed is highly regarded for his expertise in restorative, implant, and cosmetic dentistry. With years of experience and a commitment to clinical excellence, Dr Ahmed takes a patient-focused approach, carefully designing each full-mouth rehabilitation to suit the individual’s goals, lifestyle, and long-term oral health.
Using the latest digital imaging and planning technology, Dr Ahmed ensures precision at every stage of treatment. His calm, compassionate nature also makes him a trusted choice for patients who may feel anxious or overwhelmed by the idea of extensive dental work.
Your full-mouth rehabilitation plan is tailored specifically to your needs and may include:
Dr Ahmed will guide you through each stage of treatment, prioritising your comfort and long-term success.
Your new smile begins with a simple step. Book your appointment online or give us a call. We're here to make it easy, comfortable, and tailored just for you.