Missing teeth can affect more than just your smile - they can impact your confidence, your comfort, and even your health. At Southern Highlands Dental Implants and Cosmetic Centre, we offer advanced dental implant solutions designed to restore your smile with strength, function, and natural beauty.
Using state-of-the-art planning software and the highest quality materials, Dr Ahmed Elkhatib and our experienced team create implants that look, feel, and function just like real teeth. Whether you're missing one tooth or several, we customise every treatment to suit your needs, giving you lasting results you can rely on.
If you’re ready to enjoy a full, confident smile again, we’re here to help every step of the way - from consultation through to final restoration.
                                                                     
                                                                
If you're missing one or more teeth due to injury, decay, or ageing, dental implants offer a long-lasting solution that restores both function and confidence. At Southern Highlands Dental, we provide high-quality, expertly placed implants that look, feel, and perform like natural teeth - giving you a smile you can trust for years to come.
Considering your options? Our experienced team will guide you through the process, from consultation to aftercare, ensuring your implant treatment is tailored to your individual needs.
                                                                     
                                                                
                                                                     
                                                                
                                                                     
                                                                
                                                                     
                                                                
                                                                     
                                                                
                                                                     
                                                                
                                                                     
                                                                
                                                                     
                                                                
                                                                     
                                                                
Dental implants are transforming the lives of thousands across Australia and around the world—restoring confidence, function, and long-term oral health. At Southern Highlands Dental Implants and Cosmetic Centre, we are dedicated to delivering high-quality, evidence-based implant solutions that provide both functional and aesthetic excellence.
Led by Dr Ahmed Elkhatib, our centre utilises the latest scientific advancements and digital technologies to offer world-class implant dentistry. With extensive experience and qualifications in implantology and periodontics, Dr Elkhatib delivers highly personalised treatment plans designed for long-term success.
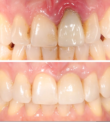
Dental implants are titanium fixtures placed into the jawbone to act as artificial tooth roots. Once integrated, they support crowns, bridges, or dentures—restoring full function and appearance. Dental implants are widely considered the gold standard for replacing missing teeth due to their durability, stability, and natural look and feel.
Despite advances in modern dentistry, many Australians still suffer from tooth loss caused by:
Traditionally, missing teeth were replaced with removable dentures, which often cause discomfort, poor fit, and inconvenience. Dental implants offer a permanent, stable alternative, giving patients the freedom to eat, speak, and smile with confidence.
Dr Ahmed Elkhatib’s expertise lies in implantology and cosmetic dentistry. He holds a Master’s degree in Implantology and Periodontics from Goethe University, Germany, and a Master Clinician in Implantology from Loma Linda University, USA. His continued international education and hands-on experience make him a respected name in advanced dental implant procedures.
We use state-of-the-art digital treatment planning software that allows patients to visualise their new smile before treatment begins. A Cone Beam CT scan is performed to assess bone quality and volume. Using this data, we can accurately plan implant placement and determine whether additional procedures such as bone or gum grafts are required.
At Southern Highlands Dental Implants and Cosmetic Centre, we follow a carefully planned three-stage implant process:
In some cases, immediate implant placement may be possible following a tooth extraction. This will be assessed during your consultation and planned accordingly.
We offer a variety of implant options tailored to each patient's needs:
Ideal for replacing a single missing tooth without affecting adjacent teeth—more durable and functional than a traditional bridge.
Suitable for patients missing several teeth, these implants provide a long-lasting, secure solution with natural aesthetics.
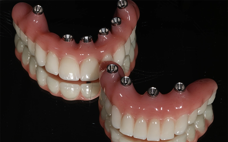
An advanced option for full-mouth restoration. A custom-designed bridge is fixed using four or more implants, replacing all teeth in the upper or lower jaw. Dr Elkhatib will determine the optimal placement and number of implants based on your bone structure and oral health.
You may be suitable for dental implants if you:
Implant costs vary based on individual needs, including the number of implants required and whether any bone or gum grafting is necessary. A Cone Beam CT scan and comprehensive clinical assessment are essential to provide an accurate treatment plan and quote. Additional costs may apply if grafting procedures are required. We ensure all patients receive a clear and detailed cost estimate prior to treatment.
Your new smile begins with a simple step. Book your appointment online or give us a call. We're here to make it easy, comfortable, and tailored just for you.