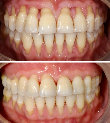
Gum recession can leave tooth roots exposed, causing sensitivity, increasing the risk of decay, and affecting the look of your smile. At Southern Highlands Dental Implants and Cosmetic Centre, we provide expert treatment to manage gum recession and help you regain healthy, protective gum tissue.
Led by Dr Ahmed Elkhatib, our experienced team uses advanced diagnostic tools and proven techniques - including gum grafting where appropriate - to cover exposed roots, reduce discomfort, and prevent further tissue loss. Each treatment is tailored to your specific needs, with a strong focus on comfort, healing, and lasting results.
Whether your gum recession is caused by periodontal disease, brushing habits, or other factors, we’re here to support you with expert care and a personalised approach.
                                                                     
                                                                
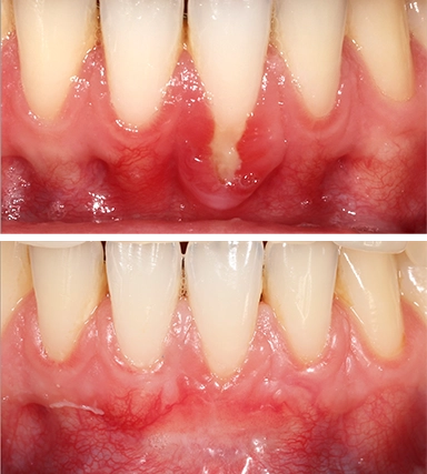
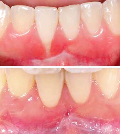
At Southern Highlands Dental Implants and Cosmetic Centre, we understand that gum recession can lead to sensitivity, aesthetic concerns, and increased risk of tooth damage. That’s why we offer expert treatment to address gum loss and support long-term oral health.
Led by Dr Ahmed Elkhatib, our experienced team uses advanced techniques to assess the extent of recession, protect exposed tooth roots, and, where appropriate, restore lost gum tissue through gum grafting. Our goal is to stabilise your gum health, prevent further tissue loss, and improve the appearance and comfort of your smile.
With a focus on gentle, effective care in a calm and supportive environment, we tailor every treatment plan to your unique needs - so you can feel confident in your journey to healthier gums.
Take the first step in treating gum recession - book your consultation today.
                                                                     
                                                                
                                                                     
                                                                
                                                                     
                                                                
Gum recession is a common yet often overlooked dental concern that can affect both the health and appearance of your smile. At Southern Highlands Dental Implants and Cosmetic Centre, we offer specialised care to treat gum recession and restore your gums to a healthier, more natural position.
Gum recession occurs when the gum tissue surrounding the teeth begins to pull away, exposing more of the tooth or even the root. This can lead to increased tooth sensitivity, higher risk of decay, and aesthetic concerns. Left untreated, gum recession may result in damage to the supporting bone and eventually tooth loss.
Recognising the early signs and seeking prompt treatment is essential to protecting your oral health.
At Southern Highlands Dental Implants and Cosmetic Centre, Dr Ahmed uses advanced techniques to treat gum recession based on its severity and underlying cause. Your personalised treatment plan may include:
Dr Ahmed combines clinical expertise with a gentle approach, ensuring you receive the highest level of care throughout your treatment journey.
With years of experience in periodontal care and implant dentistry, Dr Ahmed is dedicated to helping patients achieve healthy, confident smiles. His meticulous approach, compassionate care, and commitment to continuing education make him a trusted choice for gum recession treatment in the Southern Highlands.
Your new smile begins with a simple step. Book your appointment online or give us a call. We're here to make it easy, comfortable, and tailored just for you.